Что такое бурая жировая ткань и зачем она нам?

Что такое бурая жировая ткань и зачем она нам?
Что такое бурая жировая ткань и зачем она нам?

Жировая ткань равна жиру, я прав?Когда мы думаем об этой ткани, мы автоматически думаем: «Мне нужно избавиться от этого противного жира». Но что, если эта жировая ткань действительно может повысить вашу метаболическую функцию и снизить общую массу тела индекс?

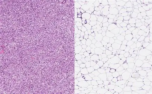
Я собираюсь рассказать вам, что есть тип жира, который делает это. БЖТ, или бурая жировая ткань, - это тип жира, который может улучшить метаболическую функцию у млекопитающих.. Мы рассмотрим различия между БЖТ (показана слева на фото ниже) и белой жировой тканью (или ВАТ - показана справа), а также узнаем, что такое БЖТ на самом деле и как она работает в фитнесе.

Во-первых, что такое жировая ткань?

Жировая ткань представляет собой рыхлую соединительную ткань. Существуют различные типы соединительной ткани, и рыхлые волокна соединительной ткани имеют относительно большие промежутки между волокнами, которые заполнены жидкостью или клетками. Жировая ткань имеет легкую группу коллагена, ретикулярные волокна и небольшое количество внеклеточного матрикса. Его пространства заполнены крупными плотно упакованными адипоцитами.

Краткий урок биологии: Суффикс -cyte означает «клетка». Префикс adipose приведет вас к выводу, что адипоцит является жировой клеткой

Адипоциты составляют большую часть вашей жировой ткани, а адипоциты заполнены липидами (жирами), которые хранят энергию. Жировая ткань находится под кожей, поэтому она прокладывает и защищает определенные части тела, а также действует как теплоизолятор.

Что такое BAT и какова его функция?

По данным Американского физиологического общества, БЖТ является уникальным органом, обнаруженным именно у млекопитающих. В отличие от других органов млекопитающих, БЖТ все еще является относительно новым органом, когда речь идет о его изучение наукой. О нем пишут с 1551 года, но осознание того, что ВАТ есть у всех млекопитающих, произошло только в прошлом столетии.

Функция БЖТ заключается в преобразовании энергии пищи в тепло. Эта функция регулируется с помощью норадреналина, выделяемого симпатической нервной системой. BAT необходима для классического термогенеза без дрожи (этого не существует в отсутствие BAT) и термогенеза, вызванного акклиматизацией к холоду, индуцированного норэпинефрином.

Краткий урок биологии: Термогенез или термогенез означает повышенный расход энергии на производство тепла. Мы будем часто использовать этот термин

Когда БЖТ активна (превращает пищу в тепло), в тканях сжигается большое количество липидов и глюкозы (это хорошо). Считается, что БЖТ вероятно, является определяющим для эволюционного успеха у млекопитающих, потому что его термогенез повышает выживаемость новорожденных и позволяет вести активную жизнь даже в холодных регионах.

Изображение
Изображение

Как BAT повышает мой метаболизм по сравнению с WAT?

Итак, мы знаем, что БЖТ - это расходующая энергию ткань, вырабатывающая тепло. Белая жировая ткань, или WAT, представляет собой ткань, хранящую энергию. Согласно Журналу внутренней медицины, ВЖТ связана с низким индексом массы тела, низким общим содержанием жировой ткани и более низким риском диабета 2 типа.

Обнаружено, что существует два типа НИМ:

  1. Классические коричневые адипоциты, обнаруженные в межлопаточном (между лопатками) органе ЛЖТ
  2. Так называемые бежевые адипоциты в основном обнаруживаются в подкожных (под кожей) ВАТ

Эти бежевые адипоциты обычно обнаруживаются после стимуляции адреналином или норэпинефрином. Помните, что симпатические нервы контролируют всю активность БЖТ, и бежевый адипоцит в этом отношении ничем не отличается от своего аналога БЖТ.

Это повышает вероятность того, что могут быть отдельные потенциальные цели для терапевтического вмешательства в отношении ожирения. Поскольку BAT превращает пищу непосредственно в тепло, многие производители пищевых добавок и фармацевтические компании стремятся использовать эту способность BAT для борьбы с ожирением.

Как активировать BAT

Поскольку изучение НЖТ и снижение ожирения является довольно новым, существует не так много информации о том, как активировать НЖТ. Исследование, проведенное Журналом клинических исследований, рассмотрело эффекты повторной стимуляции холодом и капсиноидами (капсаицином) у здоровых людей с низкой активностью БЖТ.

Острое воздействие холода при 19°C в течение двух часов увеличивает расход энергии (ЭЭ). Индуцированное холодом увеличение ЭЭ (CIT) сильно коррелирует с активностью BAT. Ежедневное двухчасовое воздействие при 17°C в течение шести недель приводило к параллельному увеличению активности БЖТ и ЦИТ, а также к снижению жировой массы тела, что означает отрицательную корреляцию между активностью БЖТ и массой жира тела (один увеличивается, другой снижается). вниз). Точно так же ежедневный прием капсиноидов в течение шести недель увеличивал ЦИТ.

Изображение
Изображение

Эти результаты пришли к выводу, что БЖТ могут быть рекрутированы даже у людей со сниженной активностью БЖТ, что способствует общему снижению жировых отложений. Самый простой способ увеличить активность БЖТ - это есть капсаицин. (острая пища). Некоторые люди не являются поклонниками острой пищи, но если вы можете ввести ее в свой рацион один или два раза в неделю, это может увеличить вашу активность НЖТ, что, в свою очередь, ускорит ваш метаболизм..

Второй вариант - заняться зимними развлечениями. Вы заставите себя оказаться в холодных погодных условиях, что может повысить активность ваших НЖТ. Зимний вид спорта, без которого я лично не могу жить, - это катание на сноуборде. Мне это нравится, и я делаю все возможное, чтобы делать это каждые выходные, когда идет снег. Другой вариант, если вы не любите зимние виды спорта, - тренироваться на улице в зимние месяцы. Говоря это, всегда будьте в безопасности и одевайтесь в соответствии с погодными условиями снаружи.

Забрать

Исследования BAT в связи с ожирением все еще находятся в зачаточном состоянии. Многое известно о том, как она активируется, помимо двух способов, упомянутых выше.

Но самое интересное в изучении БЖТ заключается в том, что мы изучаем новый способ повышения нашей метаболической функции с помощью жировой ткани. Эта ткань всегда рассматривалась как что-то плохое, что хранит ваш жир. Будет интересно посмотреть, какое будущее ждет научные исследования BAT и как они могут помочь нам в общей физической форме и здоровье.